Aydın Bilge Cevaplıyor
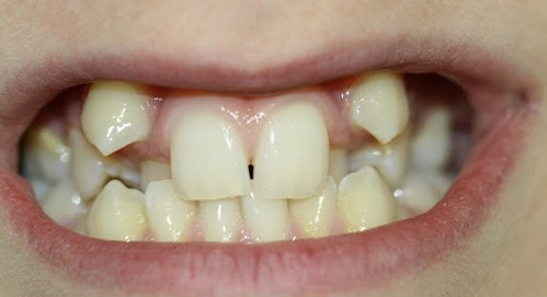
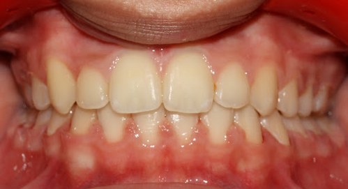
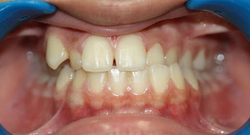
Ortodonti ,dişlerin doğru bir biçimde ağızda sıralanması ve ağız bölgesindeki uyumsuzlukları tespit edip, tedavi etmeyi amaçlayan bilim dalıdır.
Diş hekimleri tarafından yapılan bu tedaviler halk arasında genelde ‘diş teli‘ tedavisi olarak adlandırılır.
Çocuklarda en geç dokuz yaşında bir Ortodontik muayene gereklidir. Bu yaştan sonra büyüme ve gelişim çok hızlı seyredeceği için bu yaşlarda yapılması gereken tedavilerin kaçırılmaması gerekir. Aksi takdirde, çok basit müdahalelerle düzeltilebilecek bir sorun artık ameliyatla düzeltilebilir bir hal alabilmektedir. Doktorumuz Aydın Bilge, İstanbul Maltepe'de Ortodonti ile ilgili sorularınızı cevaplamaya hazırdır.
Randevu Al